3 年
手机商铺
入驻年限:3 年
陈经理
上海 闵行区
试剂、抗体、ELISA 试剂盒、技术服务、论文服务、细胞库 / 细胞培养
经销商 代理商 生产厂商 科研机构
公司新闻/正文
1456 人阅读发布时间:2024-01-24 15:00
小动物CT-micro-CT
仪器型号:
中国,平生医疗(PINGSENG Healthcare),VENUS 001型
分析软件:
重建及分析软件,Avatar3
研究案例:
1、Micro-CT 在骨成像及定量分析方面的应用

(1)大鼠离体股骨样本,用于骨质疏松研究。

(2)大鼠颅骨样本,用于研究生成材料的成骨性能
2、Micro -CT 在齿科研究中的应用,用以评价植入材料或药物对牙槽骨或口腔修复的效果

3、肺纤维化药物治疗效果研究

4、肾脏及泌尿系统疾病研究

5、Micro-CT 在心脏及血管等领域的研究

(1)血管灌注后的血管形态研究

新骨生成后血管情况
4、Micro -CT 在材料无损检测中的应用

5、其他如,鱼类,果实、茎叶,中药等的研究


三、提供的服务: 成像服务;CT分析
四、实验流程:1. 客户提供:实验动物 2.确认信号—气麻—开机检测和数据分析—提供实验报告 3.实验周期:5个工作日
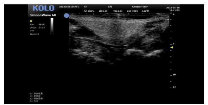
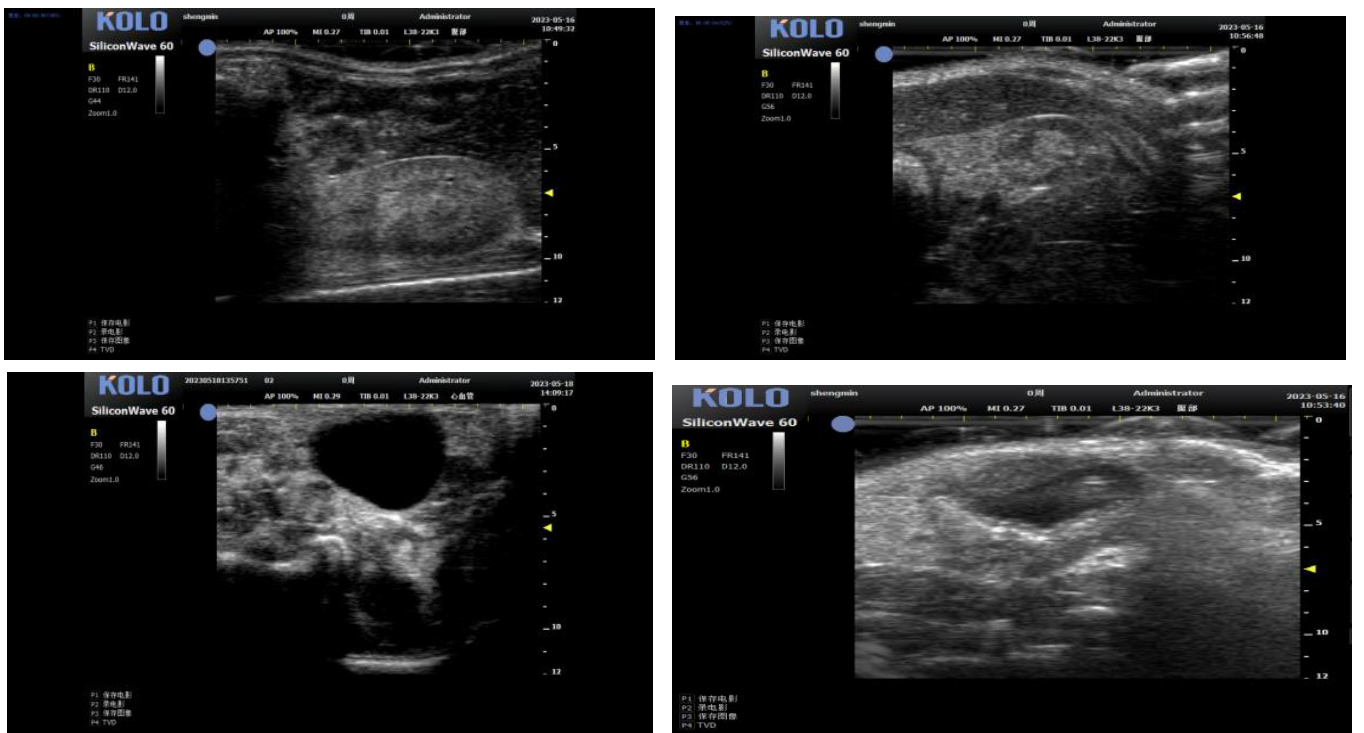
小动物B超

一、技术简介:
基于CMUT 半导体超声技术,集成多项发明专利,珂纳医疗精心研发出 SiliconWave 60 超高频小动物超声成像系统。该系统微米级的超高清分辨率,8-62 MHz 超宽频段和丰富灵敏的彩色多普勒功能为临床前科研用户观察小动物的心血管、腹部脏 器、浅表组织及胚胎等提供了清晰多彩的超声图像。系统的实时无创操作也为科研实验 的反复验证,长期动态观察等提供了极大的便利性。
二、研究案例
1. 小鼠心脏研究---左心室(长+短轴+M 超)

2. 小鼠心脏研究---四腔心(长轴+血流测速)

3、小鼠血管方面研究
3.1 腹主动脉(长+短轴+管壁距离测量+血流流速)

3.2 颈动脉(长轴)

4、内脏测量

5肿瘤测量(肿瘤大小精确测量)

小动物活体成像

一、技术简介:
小动物活体成像主要采用生物发光(bioluminescence)与荧光(fluorescence)两种技术。生物发光是用荧光素酶(Luciferase)基因标记细胞或DNA,而荧光技术则采用荧光报告基团(GFP、RFP, Cyt及dyes等)进行标记。利用一套非常灵敏的光学检测仪器,让研究人员能够直接控活体生物体内的细胞活动和基因行为。通过这个系统,可以观测活体动物体内肿瘤的生长及转移、感染性疾病发展过程、特定基因的表达等生物学过程。
小动物活体成像系统适用于对小动物整体或器官的生物发光及荧光成像实验,主要用于肿瘤研究、药物研究、心血管疾病研究、干细胞研究、神经科学研究、炎症研究和代谢研究等。
二、实验案例:

(1)在肿瘤研究中的应用

(2)可穿透血脑屏障的纳米材料体系

(3)ICG 标记的外泌体的活体荧光成像

三、提供的服务:
1. 小动物活体成像
2. 尾静脉注射,腹腔注射,灌胃等
3. 荧光素酶底物注射
四、实验流程:
1. 客户提供:实验动物
2.确认荧光信号—气麻—开机检测—提供实验报告
3.实验周期:3个工作日